
Cod UNG
For diagnostic assays
Cod UNG
OverView
Cod Uracil-DNA Glycosylase (Cod UNG) from Atlantic Cod is the only commercially available UNG enzyme that is completely and irreversibly inactivated by moderate heat treatment. The enzyme is produced in a recombinant E. coli (ung-) strain that contains a modified Cod UNG gene.
Key Features:
- Heat-labile - Completely and irreversibly inactivated at 55°C
- Contamination control - ideal in applications below
- Use of Cod UNG makes contamination control possible in RT-PCR
- Does not degrade PCR product post-PCR. This makes downstream use of the PCR product possible
- High purity enzyme, tested free of contaminating nucleases
- Detergent free
- Post-PCR Analysis - Enables post-PCR analysis
Applications
Ideal for contamination control in
- PCR carry-over prevention
- RT-PCR
- RT-qPCR
- qPCR
- kPCR
- RT-LAMP
Heat-labile Uracil-DNA Glycosylase
There are several commercially available Uracil-DNA glycosylases on the market today. Most of them are of bacterial origin and work well if you have no intention to further analyze the PCR products post-PCR. However, if you want to store your PCR products for downstream analysis such as cloning and sequencing, the reactivation of UNG and subsequent degradation of your PCR products are a problem with most of the commercially available UNGs. Cod UNG from ArcticZymes is completely and irreversibly inactivated by heat thus ensuring that sample integrity is maintained long-term regardless of storage conditions.
This is illustrated in figure 1, below
Figures

Various UNGs were tested for residual activity after heat inactivation. PCR was performed with dUTP and 1 Unit of 5 different commercially available UNGs. Post-PCR, the PCR products were incubated at room temperature for various time intervals, followed by heating and subsequent cooling. Gel electrophoreses of the PCR products revealed UNG reactivation, and thus severe degradation of PCR products of all UNGs tested, except for

Post-PCR sequence quality and integrity were further evaluated by sequencing the PCR products. PCR was performed with one of four different commercially available UNGs added to the mastermix. Post-PCR, the PCR products were incubated at room temperature or 4˚C at various time intervals. Samples were subsequently purified and sequenced. Sequence data were thoroughly analyzed with emphasis on reduced sequence quality as a result of UNG reactivation. As illustrated in both figure 2 and figure 3, samples treated with UNG showed severe degradation of PCR products due to UNG reactivation, except for samples treated with Cod UNG.

A serial dilution of MS2 viral RNAin human serum was prepared. The mixture was spiked with uracilcontaining amplicons to mimic carry-over DNA. RNA was quantifiedusing a standard one-step RT-qPCR. The presence of carry-overDNA severely reduced the sensitivity of the assay (red). Inclusion ofCod UNG restored assay sensitivity (green), control sample (grey)

RT-qPCR on human total RNA in presence of Cod UNG, UNG from E. coli, and two competitor coldadapted UNG’s was performed according to protocol. The failureof competitors A and B (cold-adapted UNG’s from marine microorganisms) to fully inactivate at 50-60°C leads to loss of cDNA andthe integrity of the PCR reaction.

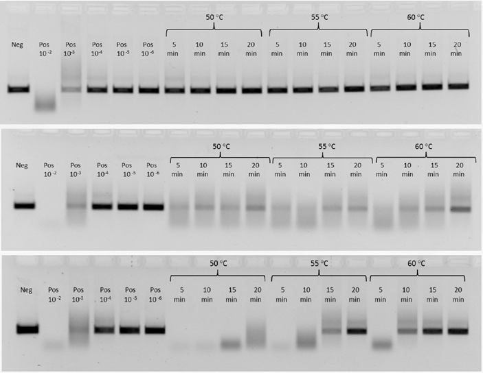
Cod UNG was testedside-by-side two commercially available, heat-labile UNG enzymes from cold-adapted marine microorganisms in a typical RTbuffer. The enzymes were heat-inactivated at the indicated timeand temperatures. Following inactivation, PCR product was addedto the samples and incubated for three hours at 37°C. Despite inactivation, upon incubation at 37°C, competitor enzymes degradedDNA (faint bands), while Cod UNG remained inactive in all bufferconditions.
Properties
Recommended Protocols
1. Contamination control in PCR, qPCR and one-step RT-qPCR
Cod UNG works in all commercially available master mixes.
Be sure that you have used dUTP containing dNTP mixes in your previous PCR experiments.
- Add 0.2 U Cod UNG directly to your 20 µl PCR reaction.
- pre-incubate for 5 min at room temperature.
- For RT-qPCR, reverse transcribe your RNA at 50-55°C.
- Run your PCR.
- Store your PCR product at -20°C or 4°C degrees.
2. Contamination control in RT-LAMP
Cod UNG is ideal for contamination control in RT-LAMP.
One unit of Cod UNG per 30 μl reaction is sufficient for removing even high concentrations of carry-over contamination.
- Ensure that you use dNTP mixes containing dUTP in your experiments.
- Check that the RT-LAMP reaction is compatible with dUTP by running side-by-side reactions containing different rations of dUTP to dUTP (100% dUTP, 90% dUTP, 80% dUTP and 0% dUTP).
- Add 1 U Cod UNG directly to your 30 µl RT-LAMP reaction.
- Prepare the reaction mix on ice.
- Analyze your RNA at 65°C, no preincubation is necessary.
Please refer to Protocol for Carry-over Contamination Control


